Kérjük válassz milyen tartalmakat szeretnél látni!
Orvosoknak
Pácienseknek
Technológia
Smilezor Academy
Csapatunk
Kapcsolat
Esetbemutatások
Kezdőlap
/
Esetbemutatások
class II., torlódás
torlódás
keresztharapás
torlódás 2
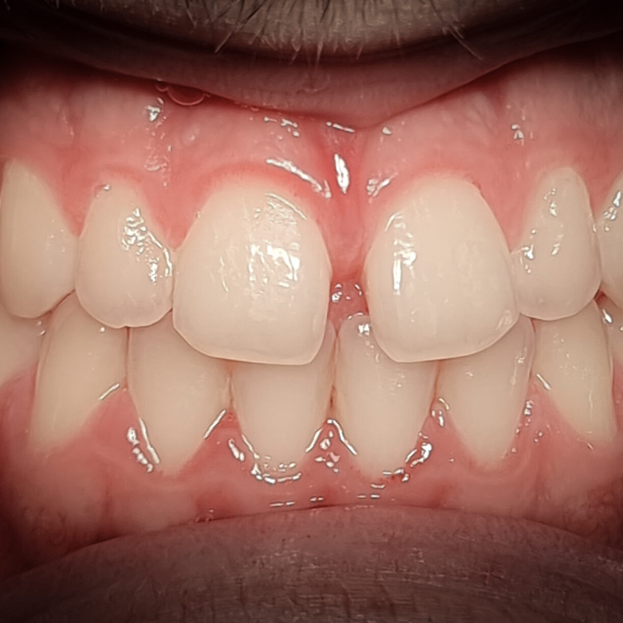
diastema
torlódás 3
diastema 2
overbite, torlódás
torlódás, overjet, overbite
overjet, overbite, torlódás
keresztharapás, torlódás
Class I. harapás